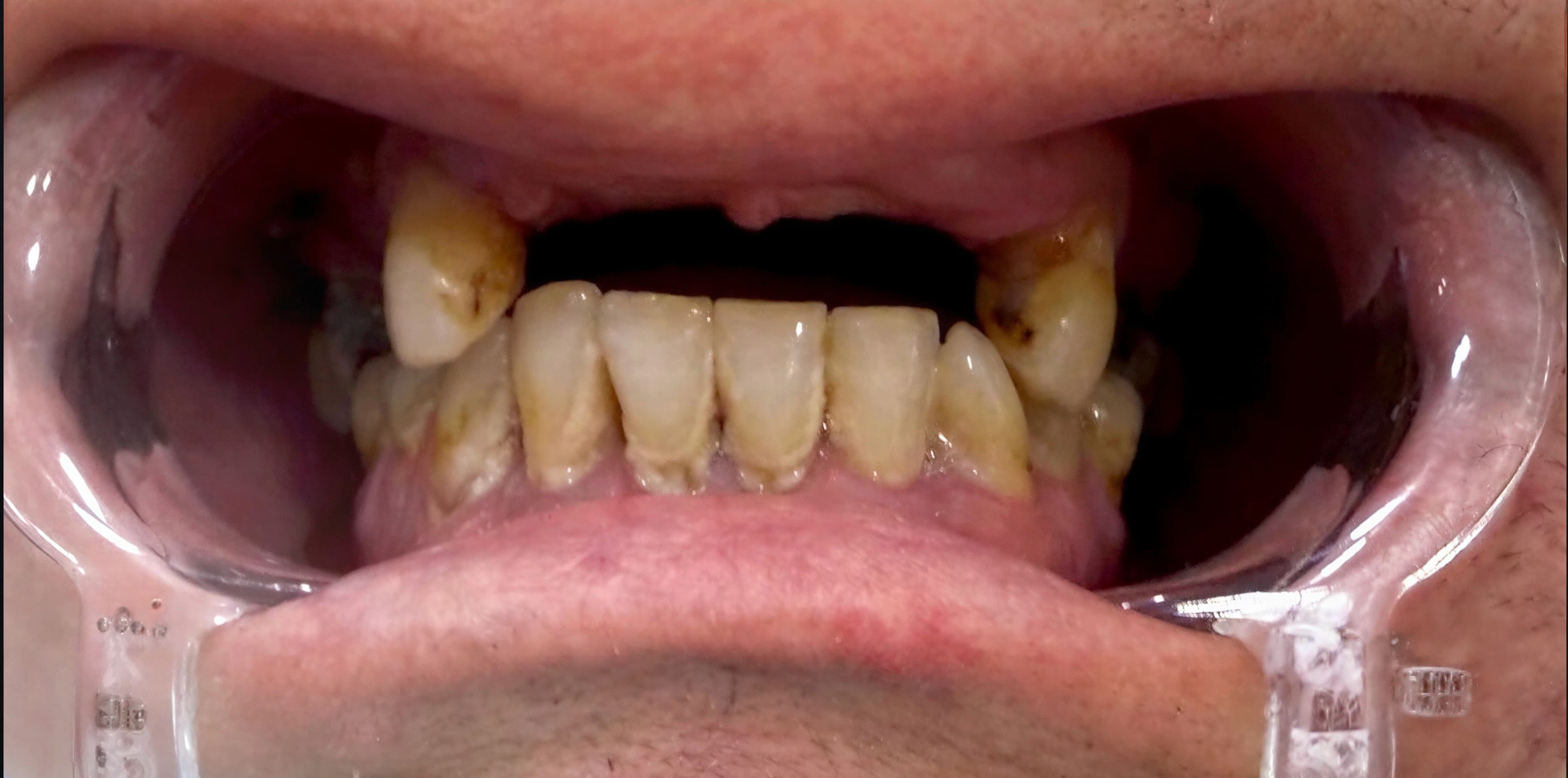
Unsere Behandlungen
Mit modernster Technologie und aktuellen Fertigungstechniken entwickeln wir langlebige, individuell geplante Lösungen für Ihre Mund- und Zahngesundheit.
Mit modernster Technologie und aktuellen Fertigungstechniken entwickeln wir langlebige, individuell geplante Lösungen für Ihre Mund- und Zahngesundheit.
Langlebige Implantatlösungen als fester und natürlicher Ersatz fehlender Zähne.
Ein individuell geplanter ästhetischer Behandlungsansatz abgestimmt auf Gesicht, Lippen und Proportionen.




Metallfreie Restaurationen mit hoher Stabilität und natürlicher Lichtwirkung.
Ultradünne Keramikveneers zur Verbesserung von Farbe und Form bei minimalem Eingriff.
Professionelle Aufhellung in der Praxis mit zahnärztlich kontrollierten Materialien.

Kontrollierte Entfernung teilretinierter oder retinierter Weisheitszähne bei Schmerzen, Druck oder Entzündung.
Geradere Zähne und ein harmonischerer Biss mit KFO und transparenten Alignern.
Erhalt entzündeter oder infizierter Zähne durch Reinigung und Versiegelung des Wurzelkanalsystems.
Festsitzende Vollbogenversorgung auf vier Implantaten für ausgewählte zahnlose Fälle.

Festsitzendes Vollbogenkonzept auf sechs Implantaten für zusätzliche Stabilität.

Kinderorientierte Zahnbehandlung mit sanftem, beruhigendem und präventionsorientiertem Ansatz.
Laserunterstützte Zahnfleischkorrektur bei zu viel Zahnfleischsichtbarkeit oder ungleichmäßigen Verläufen.